Notice: Function _load_textdomain_just_in_time was called incorrectly. Translation loading for the acf domain was triggered too early. This is usually an indicator for some code in the plugin or theme running too early. Translations should be loaded at the init action or later. Please see Debugging in WordPress for more information. (This message was added in version 6.7.0.) in /var/www/vhosts/digimax.uk/httpdocs/shirlanddental.digimax.uk/wp-includes/functions.php on line 6131
Smile Gallery - Shirland Dental Practice | Dentist in Maida Vale, London logo symbol Menu
  • 142 Shirland Road
  • Maida Vale
  • West London
  • W9 2BT

Case 13 - Teeth Whitening

Before - Shirland Dental Before
After - Shirland Dental After

Main concern: Wanted whiter teeth.

Read More

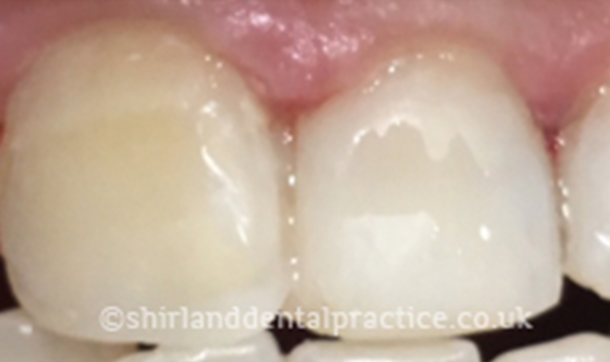
Case 14 - ICON

Before - Shirland Dental Before
After - Shirland Dental After

Main concern: White patch on the central incisor.

Read More

Case 15 - Composite Fillings

Before - Shirland Dental Before
After - Shirland Dental After

Main concern: Not happy with her front teeth fillings.

Read More

Case 16 - Composite Veneers

Before - Shirland Dental Before
After - Shirland Dental After

Main concern: Wanted a fresher look on a budget.

Read More

Get in touch

Treatment - Shirland Dental Practice Treatment - Shirland Dental Practice

Preventative Dentistry

Your dental health in our hands

Learn More
Treatment - Shirland Dental Practice Treatment - Shirland Dental Practice

General Dentistry

Dentistry for all the family

Learn More
Treatment - Shirland Dental Practice Treatment - Shirland Dental Practice

Cosmetic Dentistry

Learn the magic of a smile makeover

Learn More
Treatment - Shirland Dental Practice Treatment - Shirland Dental Practice

Teeth Straightening

Transform your smile with Invisalign®

Learn More
Treatment - Shirland Dental Practice Treatment - Shirland Dental Practice

Dental Implants

Your future smile begins with dental implants

Learn More
Treatment - Shirland Dental Practice Treatment - Shirland Dental Practice

Preventative Dentistry

Your dental health in our hands

Learn More
Treatment - Shirland Dental Practice Treatment - Shirland Dental Practice

General Dentistry

Dentistry for all the family

Learn More
Treatment - Shirland Dental Practice Treatment - Shirland Dental Practice

Cosmetic Dentistry

Learn the magic of a smile makeover

Learn More
Treatment - Shirland Dental Practice Treatment - Shirland Dental Practice

Teeth Straightening

Transform your smile with Invisalign®

Learn More
Treatment - Shirland Dental Practice Treatment - Shirland Dental Practice

Dental Implants

Your future smile begins with dental implants

Learn More

Invisalign®

invisalign logo1

Looking for that ‘wow’ factor?

We offer discreet and effective
teeth straightening with Invisalign®

Learn More
logo yellow plain symbol1

We love our patients

“I have a phobia of Dentists having not gone for 33 years. Dr Mansour really put my mind at rest and gave good advice. Amazingly my teeth are in good shape and only hygienist appointment required and a few small bits - No fillings. I'm not really into writing reviews and this is my first one on google but I highly recommend Shirland Dental Practice.”

Chris P (Google Review)

“Highly recommend this practice. Dr Mansour has a wonderful chair-side manner and is always reassuring and considerate. As someone who dreaded visiting the dentist for years, I can recommend her to any of my fellow dental-phobics. She does excellent work but it's her professionalism and warmth that sets her apart.”

Linus B (Google Review)

“Honestly the best dental practice I have ever been to. Everyone was so friendly and talked me through the procedures and my xrays. I would be happy to go back weekly if that wasn't so weird (and thankfully not necessary).”

Emma H (Google Review)

“Open at weekends! The staff and location are fantastic. The most impressive dental service in the area.”

Darragh (Google Review)

“An honest and caring dentist! A welcome change from my previous experience. Everything was explained clearly before work was done and the cost was outlined also. I would recommend anyone come here as they are very friendly. Thank you Hamssa!”

Leon B (Google Review)

View Testimonials
Online Referrals
Contact Us

Follow us on Instagram

Google Rating
4.9
Google Rating